『e-max』詰め物ご紹介✨
2025/07/23
こんにちは
金山こうへい歯科です。
今日は自費の治療を症例写真でご紹介✨
今回は患者様のご希望で『e-max』という素材で治療しました。
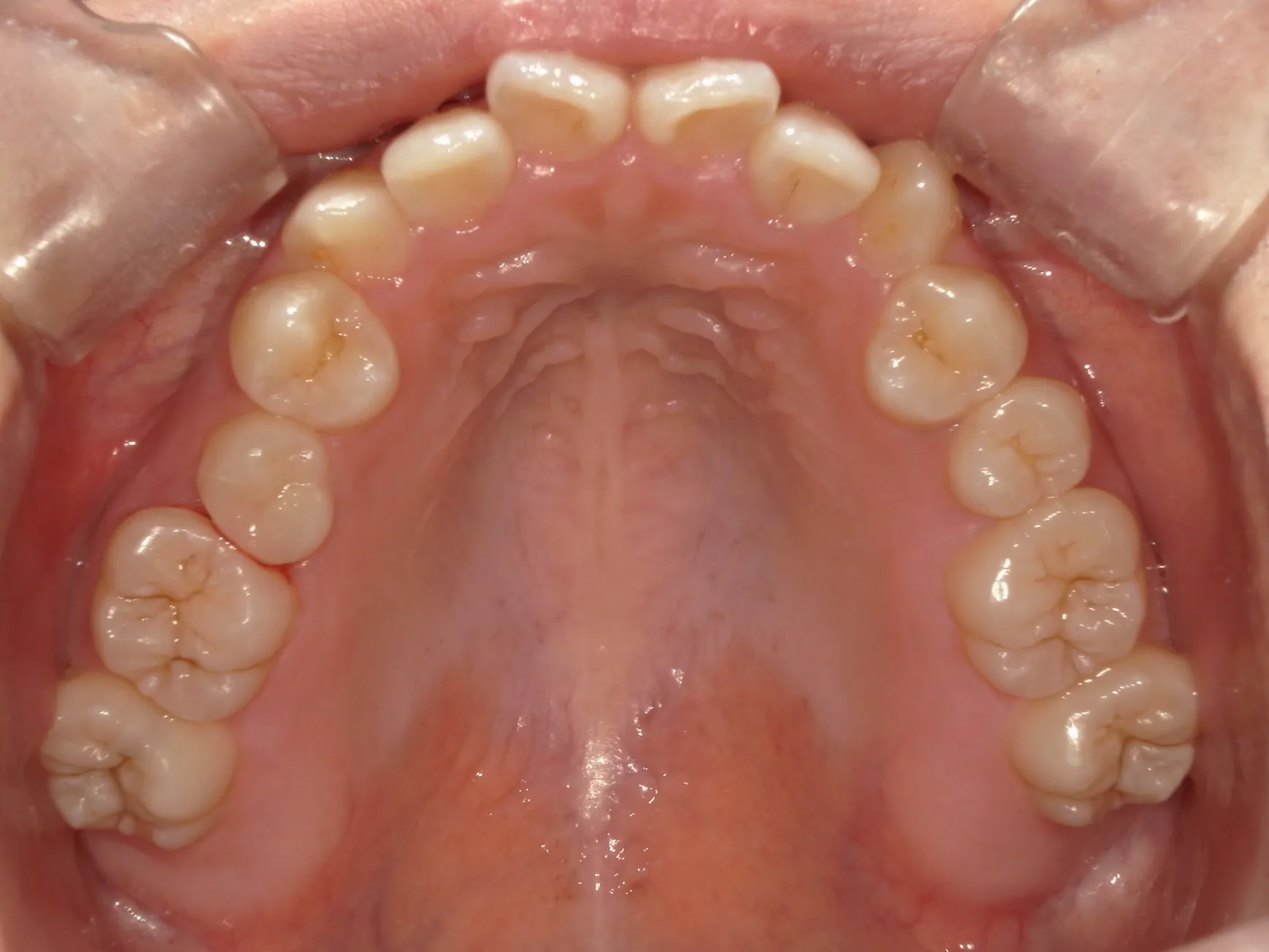
右上の5番目の歯の治療をしました。(写真でいうと反転しているので左上 前から5番目の歯です)
1枚目がbeforeで、2枚目がafter写真です。
e-maxとはニケイ酸リチウムという素材が主なセラミックです。
透明度があり審美性に優れています。🦷✨
他の素材に比べ、「硬すぎない」というメリットがあります。
素材が硬すぎると天然の歯ばかりが一方的に摩耗していってしまいます。
その点、e-maxは天然の歯と同程度の強度であり、どちらか一方だけが摩耗していくことがないため
優れた素材といえます。
デメリットとしては、メリットだった「硬すぎない」が逆に噛みしめが強い方だと
割れる可能性があるということです。
素材については他にもありますのでお気軽にお聞きください♪
<値段>
1本¥45,000(税込)
(保証2年間付き)
----------------------------------------------------------------------
金山こうへい歯科
愛知県名古屋市熱田区新尾頭1-6-18
ベルヴィル金山1階
電話番号 : 052-683-0123
----------------------------------------------------------------------


